Advanced Treatment
정형외과, 신경외과, 중재적시술, 치과, 최소침습 수술 등 전문화된 첨단 치료 서비스를 제공합니다
중재적시술센터
수술 없이 비침습적인 방법으로 질병을 치료하거나 개선하는 최신 중재적 시술을 제공합니다.
중재적 시술은 수술 없이 비침습적인 방법으로 질병을 치료하거나 개선하는 치료법입니다. 전통적인 수술과 달리 피부 절개가 작고 시술이 비침습적으로 혈관을 통해 장비를 삽입하거나 절개 없이 접근하여 시술하므로 통증이 거의 없습니다.
타임동물메디컬센터 중재적시술센터는 최첨단 C-arm 장비를 보유하고 있으며, DSA 기능을 탑재하여 실시간 고화질 X-ray 영상을 제공하는 영상 장비로 다양한 중재적 시술이 가능합니다.

중재적 시술의 장점
최소 침습적 치료로 얻을 수 있는 다양한 이점들
통증 감소
피부 절개가 작고 비침습적으로 혈관을 통해 접근하여 통증이 거의 없으며, 입원 기간 및 회복 기간이 수술에 비해 짧습니다.
마취 위험성 감소
통증이 적어 마취의 깊이를 얕게 할 수 있으며, 마취의 깊이와 시간 단축으로 환자의 위험성을 크게 감소시킬 수 있습니다.
합병증 감소
혈관을 따라 내부로 접근하여 조직 손상이나 합병증의 위험을 최소화할 수 있습니다.
중재적 시술 종류
질환별 맞춤 중재적 치료
PDA 교정 시술
동맥관 개존증(PDA) 환자에서 PDA plug를 이용하여 동맥관을 폐쇄하는 시술입니다.
개흉 수술 없이 카테터를 통한 접근으로 시술하여 회복이 빠르고 합병증 위험이 적습니다.
PDA 환자 시술 전후 방사선 비교

시술 전
동맥관 개존증으로 인한 비정상적인 혈류

시술 후
PDA plug 삽입으로 동맥관 성공적 폐쇄
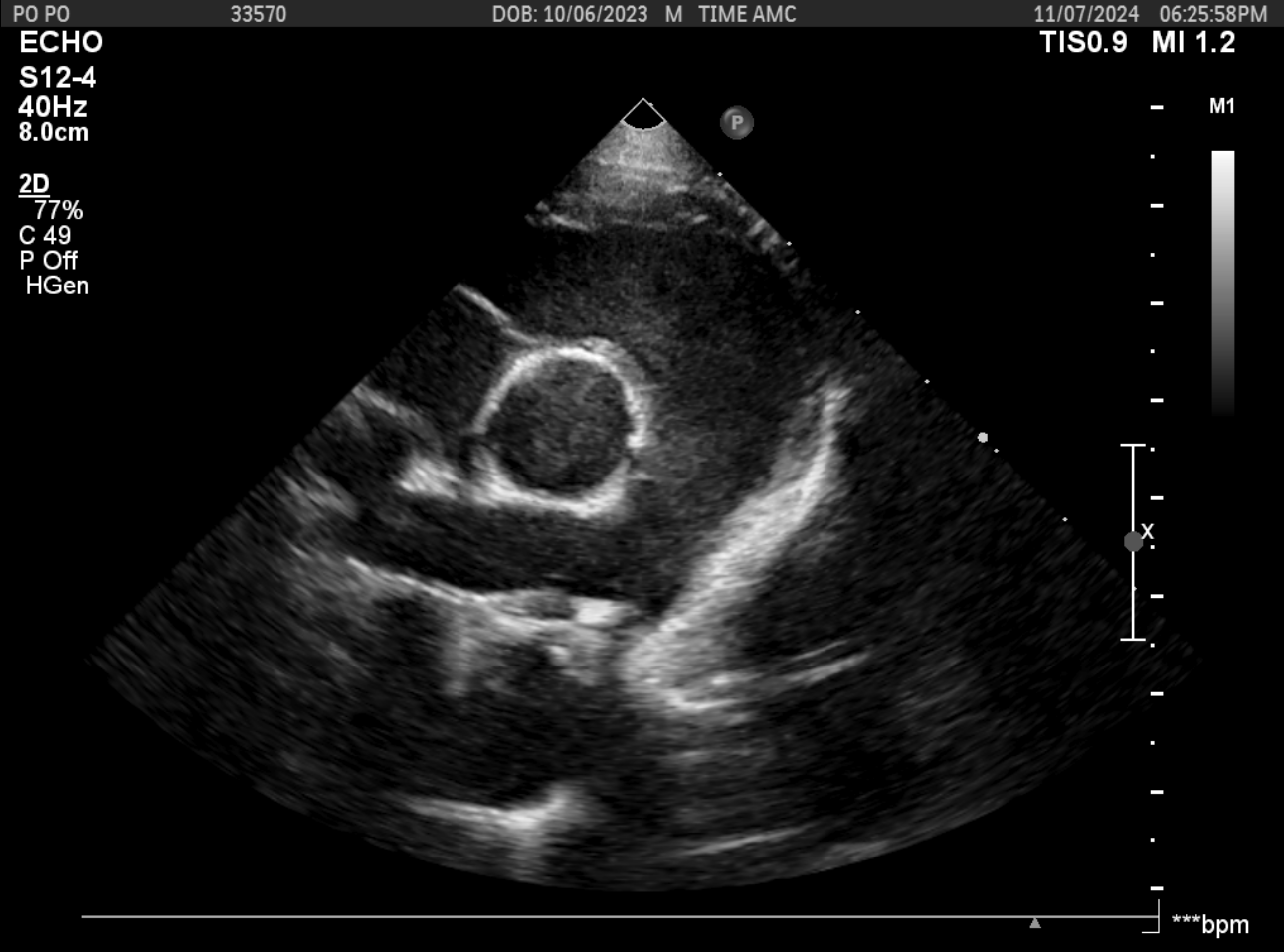
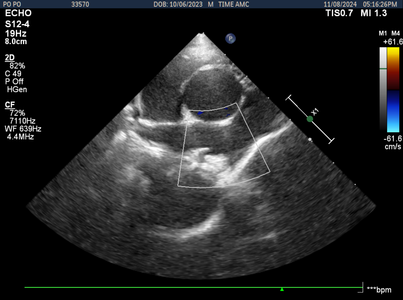
PDA 교정 시술 전후 초음파 비교

시술 전 1

시술 전 2

시술 후 1

시술 후 2
PDA 교정 시술 전후의 초음파 비교입니다. 시술 전에는 동맥관 개존증으로 인한 비정상적인 혈류 패턴이 도플러 초음파로 확인되며, 시술 후에는 PDA plug 삽입으로 정상적인 혈류 패턴으로 회복된 상태를 보여줍니다.
PDA 교정 시술 투시 영상

시술 투시 영상 1
C-arm을 이용한 실시간 투시 영상 가이드 하에 카테터 삽입 과정

시술 투시 영상 2
정확한 위치에 PDA plug 삽입하는 과정의 투시 영상
폐동맥 및 대동맥 협착증 풍선판막성형술
폐동맥 및 대동맥 협착증 환자에서 혈관용 벌룬을 이용하여 협착 부위를 넓혀주는 시술입니다.
실시간 영상 가이드 하에 정확한 위치에서 풍선을 확장시켜 혈류를 개선시킵니다.
풍선판막성형술 시술 과정

veterinary image-guided interventions
C-arm 영상 장비
실시간 고화질 영상 가이드 시술
실시간으로 고화질 X-ray 영상을 제공하는 영상 장비로 다양한 진료 분야에서 필수적인 도구로 자리잡고 있습니다.
특히, 중재적 시술과 정형, 신경외과 수술 중에 정확한 위치 파악과 신속한 판단이 가능합니다.
타임동물메디컬센터에서는 제노레이 사의 최고급 하이엔드 C-arm 장비를 보유하고 있으며, DSA 기능을 탑재하고 있어 다양한 중재적 시술이 가능합니다.
주요 특징
- 실시간 고화질 X-ray 영상 제공
- DSA (Digital Subtraction Angiography) 기능 탑재
- 정확한 위치 파악 및 신속한 판단 지원
- 방사선 안전 솔루션 (Low Dose Mode)

OSCAR 15 C-arm 시스템
제노레이 사의 최첨단 영상 진단 장비
