Advanced Treatment
정형외과, 신경외과, 중재적시술, 치과, 최소침습 수술 등 전문화된 첨단 치료 서비스를 제공합니다
정형수술센터
골절, 관절, 인대, 척추 등 근골격계 질환에 대한 전문적인 진단과 수술, 재활 치료를 제공합니다.
타임동물메디컬센터 정형외과센터는 뼈, 근육, 인대, 관절 등 반려동물의 근골격계 질환을 전문적으로 치료하는 의료 기관입니다. 골절, 탈구, 관절염 등 다양한 정형외과 질환에 대해 최신 장비와 기술을 이용한 정밀한 진단과 맞춤형 치료를 제공하 고 있습니다.
전문적인 정형외과팀이 안전하고 효과적인 수술 및 재활 치료를 진행하여 반려동물의 빠른 회복을 돕고 있으며, 첨단장비와 석박사출신 외과전문 의료진을 통해 외상에 의한 골절 및 퇴행성 관절 질환, 슬개골탈구 등의 수술을 시행하고 있습니다.

정형외과 진료 분야
골절부터 관절질환까지 전문적인 정형외과 치료
골절수술
골절 수술은 뼈를 올바른 위치에 고정하여 빠르고 정확한 회복을 돕고, 향후 합병증을 예방할 수 있습니다.
골절 위치와 정도에 따라 환자의 상태에 맞는 적절한 이식물을 사용하고 있으며, 치유 과정이 지연될 수 있는 경우 수술 시 골 이식재를 사용하여 빠른 골 재생을 유도합니다.
AO Principle(수의정형외과 국제학술단체 기준)을 준수하며 시행함에 따라 높은 성공률을 보여주고 있습니다.
골 기형 교정
골 기형이란 강아지의 다리 뼈가 정상적인 축에서 벗어나 비정상적으로 휘어진 상태를 의미하며, 선천적인 원인이나 성장 중에 발생할 수 있습니다.
주로 팔꿈치나 무릎 관절에서 나타나며 비정상적인 각도가 관절에 과도한 압력을 가해 통증, 관절염 등을 유발할 수 있습니다.
골의 기형 정도를 고려하여 3D 프린터를 통해 환자의 실제 골격 모양과 동일한 모형으로 모의 수술을 진행한 후 정확도 높은 환자 맞춤형 수술을 진행하고 있습니다.
3D 프린터를 활용한 맞춤형 수술
골의 기형 정도를 고려하여 3D 프린터를 통해 환자의 실제 골격 모양과 동일한 모형으로 모의 수술을 진행한 후 정확도 높은 환자 맞춤형 수술을 진행하고 있습니다.
대퇴원위절골술 + 슬개골 탈구 교정술 등 복합 수술에서 활용됩니다.

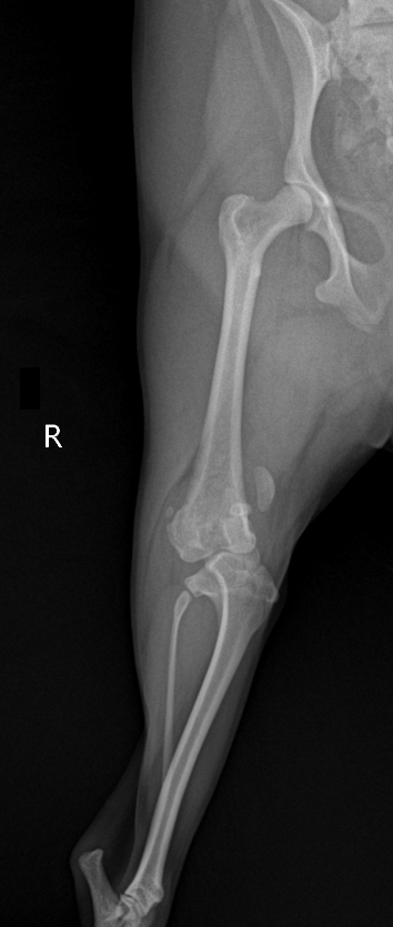
X-ray
슬개골 탈구, 대퇴골 만곡과 경골 심한 회내 동반
